Docteurs STRAUSS, FIGIER, REBISCHUNG et CHEVIGNY à Mulhouse
Chirurgien Dentiste
Docteurs STRAUSS, FIGIER, REBISCHUNG et CHEVIGNY à Mulhouse
Chirurgien Dentiste

34 rue Paul Cézanne
68200 Mulhouse

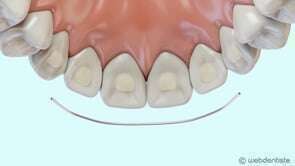
Fil de contention


video-play-icon

Création par Webdentiste

Connexion